Ante el Whiplash o latigazo cervical la Kinesiología es de gran ayuda. A través de los test musculares podremos realizar pruebas dinámicas para valorar alguna respuesta que podamos utilizar para apoyar la recuperación de esta lesión típica en accidentes de tráfico, sobre todo cuando estamos parados.
Cuando sufrimos un golpe por detrás en nuestro vehículo, en semáforos, atascos, circunstancias de tráfico…, el impacto genera un desplazamiento brusco de la cabeza. Además, al estar sujetos por el cinturón, se bloquean los músculos del cuello y se produce ese latigazo cervical que tantos problemas de salud genera.
Lo golpes secos en circulación por detrás del vehículo (colisión por alcance) llevan asociados una serie de problemas musculares que con Kinesiología se pueden tratar. Tras una colisión de estas características, no solo se genera ese Whiplash, sino que también ante el susto la boca se tiende a abrir, lo que afecta a nuestra ATM, la articulación temporo mandibular. A su vez, el golpe hace que nos aferremos al volante con tensión y esto puede implicar los hombros, codos y muñecas. Pero también, muchas veces, se pisa fuerte el freno para evitar un mayor desplazamiento, forzando así la cadera, la rodilla y el tobillo.
Síntomas tras el golpe.
Muchas personas afectadas por este tipo de accidente sufren unos días de dolores en el cuello. Por este motivo se coloca un collarín durante un tiempo, pero cuando se pasa el dolor del cuello se puede sentir dolor lumbar o en las extremidades superiores o inferiores.
Como consecuencia del golpe seco suele producirse dolor de cabeza, hombros, entumecimiento en brazos o manos, mareos, alteración del suelo, rigidez en el cuello, dolor lumbar, problemas en las mandíbulas, alergias, cambios emocionales, alteraciones en la voz, ciática, problemas menstruales, problemas digestivos, inestabilidad, túnel carpiano… La Kinesiología en este tipo de accidentes en los que todo el cuerpo se pone en tensión y alerta, realiza con los tests musculares pruebas dinámicas para valorar si existe alguna respuesta que podamos utilizar para apoyar en la recuperación. Nos ofrece una visión global muy útil para el terapeuta y para la recuperación del paciente.
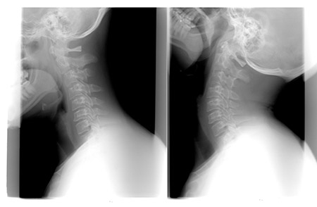
Es importante destacar que en estos tests también evaluamos los tejidos blandos (ligamentos, discos y músculos) que no salen en las pruebas de RX. La debilidad de éstos puede crear un dolor por compensación.
Revisión kinesiológica ante el golpe.
- La mandíbula (ATM), tensiones y menos apertura.
- Suturas craneales sobre todo la lamboidea.
- Zona pélvica, rodillas y tobillos implicados en la frenada.
- Hombros, codos y muñecas implicados para evitar golpearnos con el volante.
- Primera costilla y músculos del cuello.
- Tiroides por la conexión con cervicales.
- Sistema emocional Flores de Bach.
En Kinesiología sabemos que todo en nuestro cuerpo se relaciona, parte de una visión holística. Por ejemplo, las lesiones en la zona lumbar pueden afectar a la zona cervical. El hombro y ATM pueden provocar dolor en el cuello y así sucesivamente. Por este motivo es una terapia muy útil en estos casos de accidentes que no puedes medir fácilmente qué tanto se ha implicado el cuerpo.
Otros artículos interesantes...
- Tratamiento natural de la Candidiasis desde la Kinesiología
Muchas personas padecen de candidiasis crónica sin saberlo, sufriendo sus síntomas durante años. La cándida…
-
La importancia de la ionización en Kinesiología
Los iones del aire son moléculas con átomos que han ganado o perdido un electrón.…



No hay comentarios todavía.